Real people, real results
Our providers have helped numerous people in our community achieve a look they’re proud to show off. Here are just a sample of the results you can get from our many solutions, have a look through the before and after cases below.
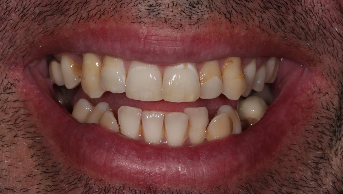
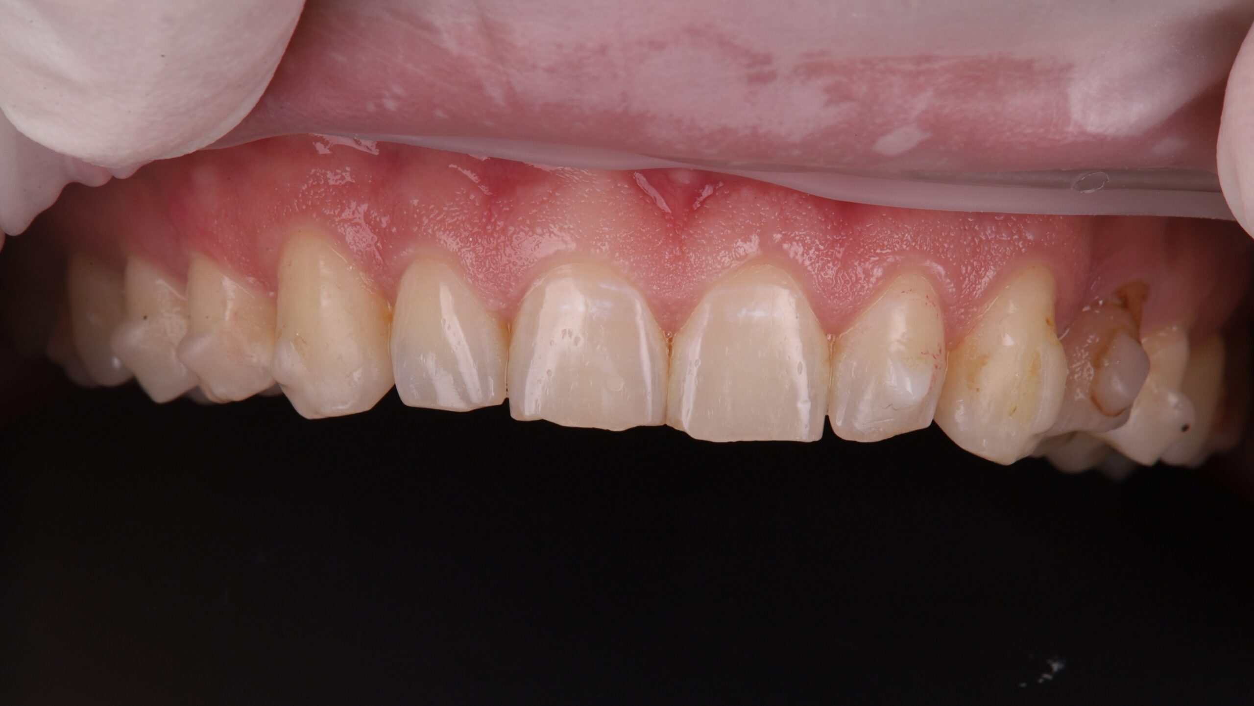
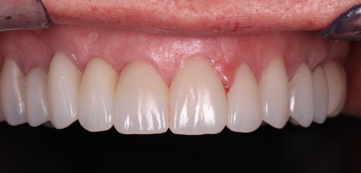
Clinical Case 1:
Smile Makeover
This patient presented with worn existing dental work and a desire to address tooth length and arch fullness. Treatment involved a combination of ceramic crowns and veneers to restore the tooth proportions and achieve a fuller smile profile.
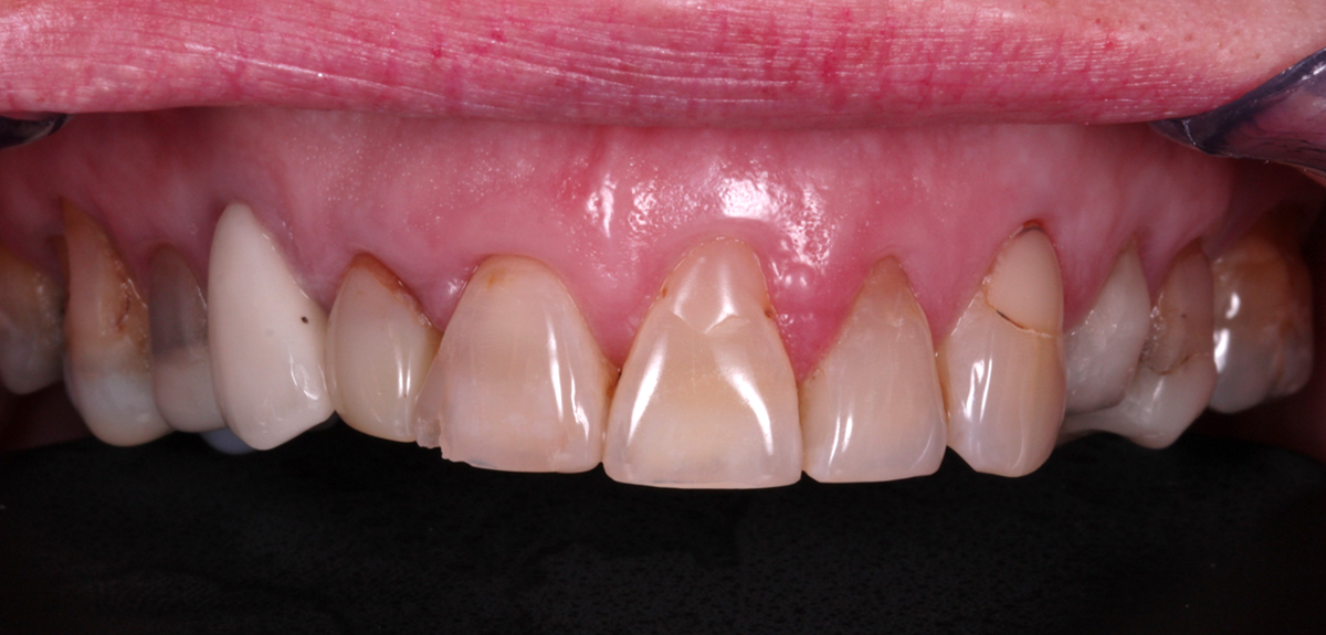
Clinical Case 2:
Invisalign and Ceramic Veneers
This patient presented with tooth wear secondary to malocclusion and tooth discolouration. To ensure a conservative approach, Invisalign was used to correctly align the teeth prior to the placement of 10 ceramic veneers. This sequential treatment allowed for minimal tooth preparation.
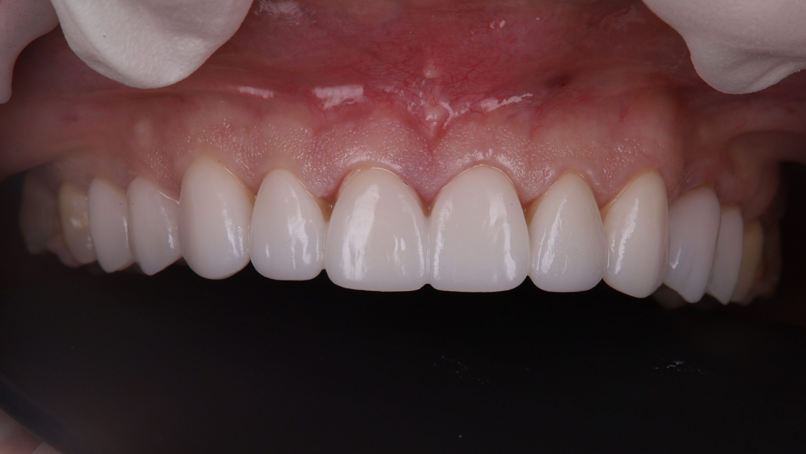
Clinical Case 3:
Smile Makeover with dental bridges, crowns and implant
This case involved a comprehensive plan to retain and repair existing dentition. Treatment included a combination of dental bridges, crowns, and a dental implant to restore bite strength and aesthetics. Following the successful rehabilitation of the upper arch, the patient elected to proceed with similar treatment for the lower arch.
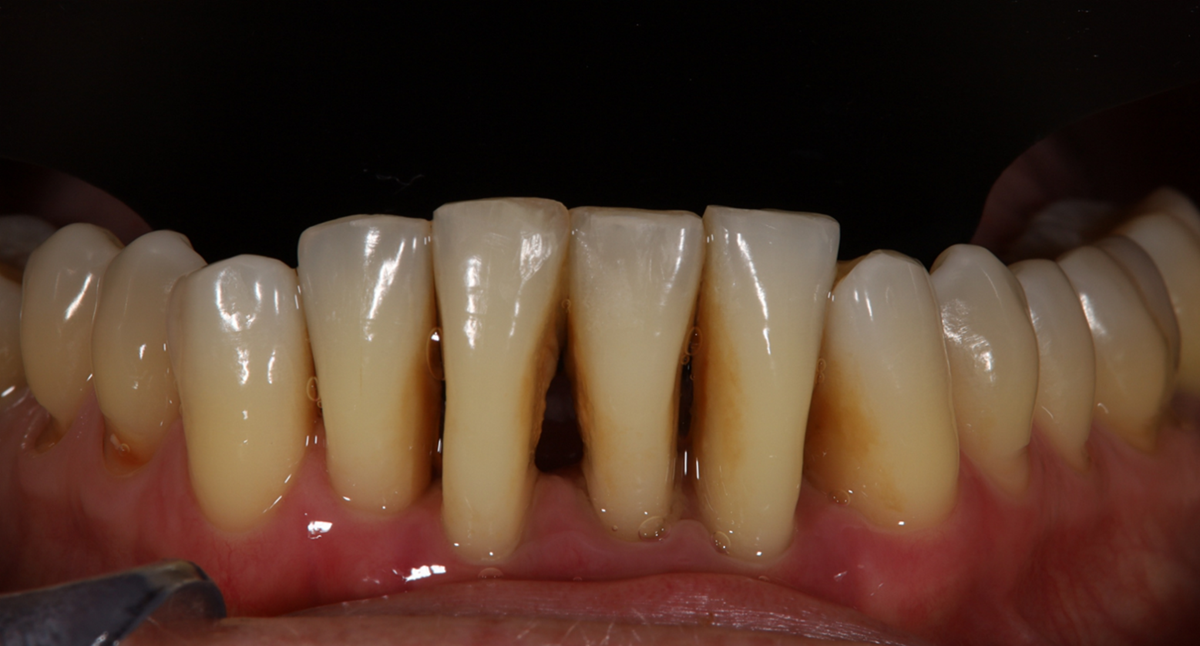
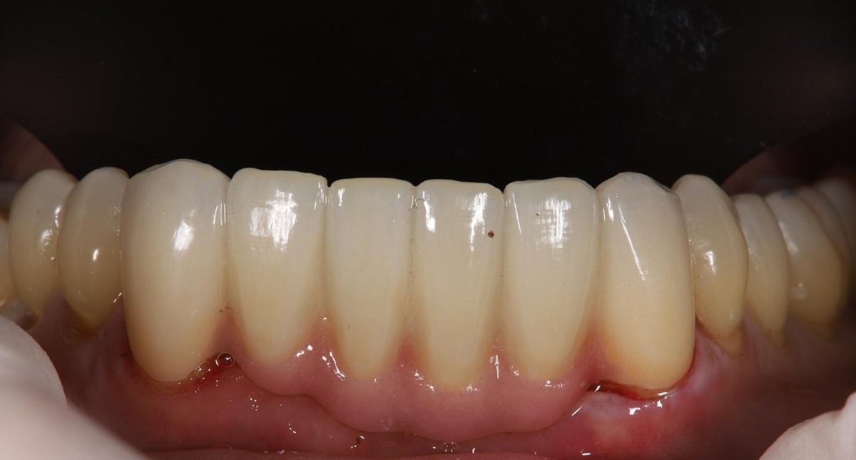
Clinical Case 4:
Dental Ceramic Bridge
A 6-unit ceramic bridge with pink porcelain was placed to replace 4 poor prognosis teeth.
Now she can bite into an apple without fear again.
Case 5:
Invisalign and Full Mouth Rehabilitation with ceramic crowns, bridges and
veneers.
This patient had his wedding booked for 16 months in advance. Luckily that gave us enough time to complete a full course of Invisalign, followed by a combination of 20 ceramic restorations to completely fix his crowding, and conservatively rebuild his smile.
The Result: a complete smile transformation that looks healthy, natural, and radiant. By the time the wedding arrived, his smile was glowing just as much as the bride’s dress!
